Smile Gallery
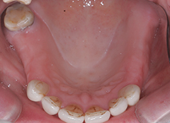
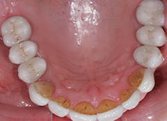
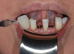
Changing a denture for a bridge

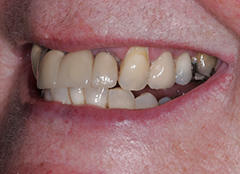
Before
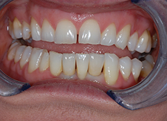
After
Complex implant orthodontcs veneers and grafting

Before
After
Before
After
Before
After
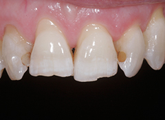
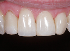
Composite fillings on front teeth

Before
After
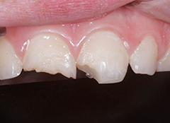
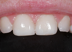
Composite up close

Before
After
Composite veneers

Before
After
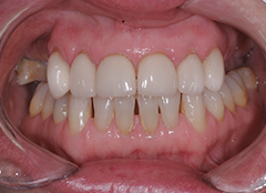
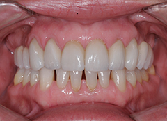
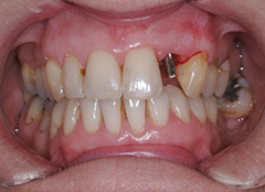
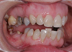
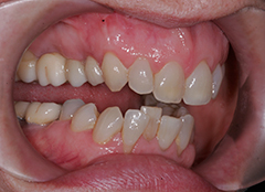
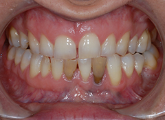
Crowns Implants And Bite Problems

Before
After
Before
After
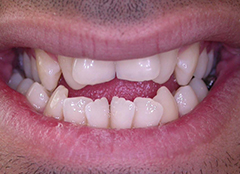
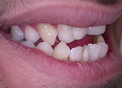
Dental Implant Progression

Before
Before
After
Dental phobic implant case

Before
After
Difficult implant case with grafting

Before
Before
After
Front Bridge

Before
After
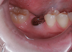
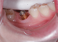
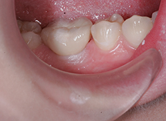
Implant healing cap abutment and tooth

Before
Before
After
Orthodontics

Before
After
Before
After
Reconstruction

Before
After
Smile makover composite and crowns to close gaps

Before
After
Veneer Makeover

Before
After
Before
After
Veneers and orthodontics

Before
After
Before
After











